بر خلاف تصور عموم مردم، روده بزرگ تنها نقش کمک به دستگاه گوارش را ایفا نکرده و ساختار میکروبیوم روده که شامل مجموعه باکتریها، قارچها و دیگر میکروبهای ساکن در روده هستند، ارتباط مستقیمی با سلامت انسان و وزن بدن دارد.
به گزارش خبرگزاری سیناپرس، یافتههای جدید محققان نشان میدهد تفاوتها در میکروبیوم روده و باکتریها و قارچهای موجود در آن با چاقی و افزایش وزن مرتبط است و این احتمال وجود دارد که با تغییر میکروبیوم، بتوان سلامت را بهبود بخشید. در این میان اما روده هر فرد حاوی صدها گونه مختلف میکروبی است و همین تنوع زیاد باعث میشود تشخیص اینکه کدام گونهها واقعاً مفید هستند، دشوار باشد.
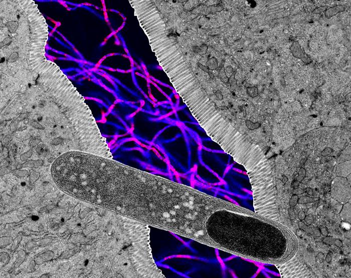
به تازگی تیمی از پژوهشگران دانشگاه یوتا در ایالات متحده آمریکا، نوعی خاص از باکتریهای روده به نام توریسیباکتر (Turicibacter) را شناسایی کردهاند که سلامت متابولیک را بهبود بخشیده و افزایش وزن را در موشهایی که رژیم پرچرب دارند، کاهش میدهد. بررسی ها نشان می دهد افراد چاق معمولاً مقدار کمتری توریسیباکتر دارند که این مساله نشان میدهد این میکروب ممکن است در انسان هم به حفظ وزن سالم کمک کند. این یافتهها میتوانند به روشهای جدیدی برای کنترل وزن از طریق تنظیم باکتریهای روده منجر شوند.
محققان از قبل میدانستند که گروه بزرگی شامل حدود ۱۰۰ باکتری، قادر هستند از افزایش وزن در موشها جلوگیری کنند، اما پیدا کردن یک میکروب خاص که نقش کلیدی در حفظ وزن داشته باشد، کار بسیار سختی بود.
کندرا کلاگ (Kendra Klag)، دانشجوی دکترای پزشکی در دانشکده پزشکی دانشگاه یوتا و سرپرست این تیم مطالعاتی در رابطه با یافته فوق توضیح میدهد: میکروبهایی که در روده ما زندگی میکنند، اصلاً دوست ندارند خارج از روده زنده بمانند. بسیاری از آنها با حضور اکسیژن کشته میشوند و باید فقط در محیطهای کاملاً بدون هوا نگهداری شوند.
وی پس از سالها کشت جداگانه میکروبها، کشف کرد که یک باکتری میلهای شکل به نام توریسیباکتر به تنهایی میتواند قند خون، سطح چربی در خون و افزایش وزن را در موشهای دارای رژیم پرچرب کاهش دهد.
جون راوند (June Round)، استاد میکروبیولوژی و ایمونولوژی در دانشگاه یوتا در این رابطه میگوید: من ابدا فکر نمیکردم یک میکروب به تنهایی چنین اثر چشمگیری داشته باشد. در واقع ما تصور میکردیم ترکیبی از سه یا چهار میکروب برای کنترل وزن، چربی و قند خون لازم باشد. وقتی کلاگ نتایج اولین آزمایش با توریسیباکتر را به من نشان داد و دیدم موشها واقعاً لاغر ماندهاند، گفتم: این فوقالعاده است. دیدن چنین نتایجی خیلی هیجانانگیز است.
توریسیباکتر ظاهراً با تولید مولکولهای چربی که توسط روده کوچک جذب میشوند، سلامت متابولیک را بهبود میبخشد. خبر خوب اینکه وقتی محققان چربیهای خالصشده توریسیباکتر را به رژیم پرچرب اضافه کردند، همان اثر کنترل وزن را مشاهده کردند که خود باکتری داشت. البته هنوز دقیقاً مشخص نیست کدام مولکولهای چربی تولید شده توسط این باکتری قهرمان مهم هستند زیرا این باکتری هزاران چربی مختلف تولید میکند که کلاگ آن را سوپ چربی نامیده است.
از سوی دیگر محققان کشف کردند که توریسیباکتر با تأثیر بر تولید یک مولکول چربی به نام سرامید (ceramides) نوعی چربی که در غشای سلولها نقش دارد و سطوح بالای آن با اختلالات متابولیک مرتبط است، سلامت متابولیک را بهبود میبخشد. آزمایش های انجام شده نشان میدهد سطوح سرامید در رژیم پرچرب افزایش مییابد و سطوح بالای آن با بسیاری از اختلالات متابولیک مانند دیابت نوع ۲ و بیماریهای قلبی مرتبط است اما چربیهای تولیدشده توسط توریسیباکتر میتوانند سطوح سرامید را حتی در موشهایی که رژیم پرچرب دارند، پایین نگه دارد.
محققان میگویند اثرات توریسیباکتر احتمالاً منحصربهفرد نبوده و بسیاری از باکتریهای مختلف روده احتمالاً در سلامت متابولیک نقش دارند. همچنین نتایج بر اساس مدلهای حیوانی ممکن است در انسان صدق نکند. با این حال، آنها امیدوارند توریسیباکتر نقطه شروعی برای توسعه درمانهایی باشد که متابولیسم سالم را تقویت کرده و از افزایش وزن بیش از حد جلوگیری میکند.
شرح کامل این پژوهش در آخرین شماره مجله تخصصی متابولیسم سلولی (Cell Metabolism) منتشر شده و در اختیار محققان قرار دارد.
مترجم: فاطمه کردی
چرا گاهی با رژیم غذایی و ورزش هم لاغر نمیشویم؟

